Rua Inglesa, 143

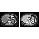
Tomografia Renal Itaim

Para realizar um exame de tomografia é simples, consiste apenas de cuidados anti-alérgicos nos pacientes que forem tomar contraste ou no jejum de seis horas para todos. Existem diversos aparelhos de tomografia nas clínicas que realizam esse tipo de exame.

Está precisando fazer tomografia renal Itaim?

A MediCom é uma empresa que oferece os melhores serviços para os clientes, com comprometimento, qualidade e respeito. A empresa disponibiliza profissionais capacitados para sempre ter a satisfação de todos clientes.

Conheça alguns serviços oferecidos pela Medicom:

Se está precisando de tomografia renal Itaim, Conheça os serviços que a Medicom oferece, entre eles estão opções variadas do segmento de exames, como tomografia computadorizada, ressonância e raio X. Executamos nossos serviços de forma segura e com qualidade, não deixe de entrar em contato para saber mais.

Para saber mais sobre Tomografia Renal Itaim

Ligue para (11) 2206-1364 ou clique aqui e entre em contato por email.

Regiões onde a Medicom Exames atende:


Guarulhos Maua Zona Leste Zona Norte
  • Aeroporto
  • Bananal
  • Bela Vista
  • Bom Clima
  • Bonsucesso
  • Bosque Maia
  • Bosque Maia Guarulhos
  • CECAP
  • Cabuçu
  • Cabuçu de Cima
  • Capelinha
  • Centro
  • Cocaia
  • Condomínio Veigas
  • Cumbica
  • Gopoúva
  • Guarulhos
  • Invernada
  • Itaim
  • Itapegica
  • Jardim Aracília
  • Jardim Fortaleza
  • Jardim Oliveira,
  • Jardim Presidente Dutra
  • Jardim Tranquilidade
  • Jardim Vila Galvão
  • Macedo
  • Maia
  • Monte Carmelo
  • Morro Grande
  • Morros
  • Paraventi
  • Parque Continental
  • Picanço
  • Pimentas
  • Ponte Grande
  • Porto da Igreja
  • Sadokim
  • São João
  • São Roque
  • Taboão
  • Tanque Grande
  • Torres Tibagy
  • Vila Augusta
  • Vila Barros
  • Vila Fátima
  • Vila Galvão
  • Vila Rio de Janeiro
  • Várzea do Palácio
  • Água Azul
  • Água Chata
  • Anália Franco
  • Aricanduva
  • Artur Alvim
  • Belenzinho
  • Belém
  • Cidade Líder
  • Cidade Patriarca
  • Cidade Tiradentes
  • Engenheiro Goulart
  • Ermelino Matarazzo
  • Guaianases
  • Itaim Paulista
  • Itaquera
  • Jardim Iguatemi
  • José Bonifácio
  • Mooca
  • Parque São Jorge
  • Parque São Lucas
  • Parque São Rafael
  • Parque do Carmo
  • Penha
  • Penha de França
  • Piqueri
  • Ponte Rasa
  • Sapopemba
  • São Mateus
  • São Miguel Paulista
  • Tatuapé
  • Vila Carrão
  • Vila Curuçá
  • Vila Dalila
  • Vila Esperança
  • Vila Formosa
  • Vila Matilde
  • Vila Prudente
  • Vila Ré
  • Água Rasa
  • Brasilândia
  • Cachoeirinha
  • Cantareira
  • Carandiru
  • Casa Verde
  • Chora Menino
  • Imirim
  • Jardim Guarapiranga
  • Jardim São Paulo
  • Jaçanã
  • Lauzane Paulista
  • Limão
  • Mandaqui
  • Nossa Senhora do Ó
  • Parada Inglesa
  • Parque Peruche
  • Parque São Domingos
  • Santana
  • Serra da Cantareira
  • Tremembé
  • Tucuruvi
  • Vila Guilherme
  • Vila Gustavo
  • Vila Maria
  • Vila Marisa Mazzei
  • Vila Mazzei
  • Vila Medeiros
  • Capuava
  • Centro
  • Chácara Maria Aparecida
  • Feital
  • Guapituba
  • Itapark
  • Itapeva
  • Jardim Araguaia
  • Jardim Columbia
  • Jardim Itapeva
  • Jardim Maringá
  • Jardim Mauá
  • Jardim Olinda Mauá
  • Jardim Oratório
  • Jardim Primavera
  • Jardim Zaira
  • Mauá
  • Nova Mauá
  • Parque Boa Esperança
  • Parque São Vicente
  • Parque das Américas
  • Vila Assis Brasil
  • Vila Falchi
  • Vila Magini