Tomografias
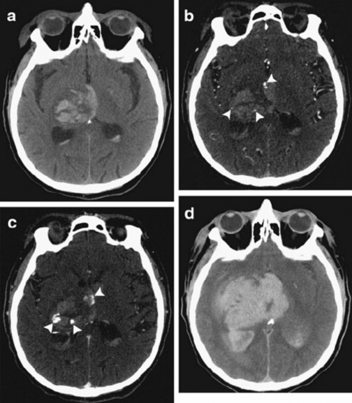
Às tomografias são uma maneira não invasiva e sem causar dor ao paciente, é usado um equipamento de raio x que ao passar ao redor do paciente cria várias imagens do interior do corpo, esse método é feito com rapidez e segurança. As imagens são analisadas e os dados possibilitam que seja feito um diagnóstico sobre o paciente, pois é permitido saber a forma, tamanho, densidade e textura do local dos órgãos do paciente, possibilitando fazer o diagnóstico e acompanhar tumores doenças infecciosas, traumas e distúrbios ósseos.
Saiba mais sobre isso
A Medicom Exames tem toda estrutura para fazer os exames com eficiência, para que assim o seus pacientes tenham acesso a um diagnóstico sem erros, possibilitando um tratamento eficiente.








